RAON SMILE DENTAL CLINIC
치아교정으로
잃어버린 미소를 되찾다
자연치가 갖고 있는 저작기능을 회복하고 가지런한 치열을 선사합니다.
자연치가 갖고 있는 저작기능을 회복하고 가지런한 치열을 선사합니다.

나비치아, 대문니 등의 콤플렉스


RAON SMILE DENTAL CLINIC
모든 치료는 시술과 수술 후, 통증과 출혈, 염증 등 부작용이 발생할 수 있으므로 의료진과의 충분한 상담 후, 진행하시기 바랍니다.



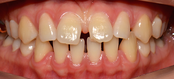
벌어진 치아

돌출입/무턱

주걱턱/반대교합

덧니
치료가 끝이 아닙니다!
주치의와 약속한 내원일을 지켜주세요
장치의 탈락과 변형을 일으키는 음식의 섭취를 피해주세요
통증이 나타나면 타이레놀 등의 일반 진통제를 복용해주세요
탈부착이 가능한 교정장치는 주치의가 설명한 시간 동안 장착해주세요
특이사항이 있다면 즉시 원내로 연락주세요




‘값싼’ 진료? ‘값진’진료! 터무니 없는 가격으로 경쟁하지 않습니다.

보건복지부 인증
“치과교정과 전문의”

대한치과교정학회 인증
“치과교정과 인정의”
교정치료만을 집중하는 치과교정과 전문의로써
‘제대로 된 진료’ 로 투자한 시간과 비용이 아깝지 않도록 ‘값진 결과’를 약속합니다.